チチくんとみーたん★ライブと動画と日記
タカちんとにゃん'sのライブカメラと動画とお話し♪
|
Admin
|
Write
|
Comment
|
日記
11
2025/12
01
S
M
T
W
T
F
S
1
2
3
4
5
6
7
8
9
10
11
12
13
14
15
16
17
18
19
20
21
22
23
24
25
26
27
28
29
30
31
✾✿✾リンク✿✾✿
おもかわペット大集合! 「P-1グランプリ」開幕中
イベント案内
✿★✿ライブカメラ✿★✿ ↑↑↑クリックしてね↑↑↑
♥ †T д k д T Î ñ † ♥チャット♥お好きな事を書いて下さいネ
♥ †T д k д T Î Ñ † ♥掲示板♥画像添付アリ♪
チチくん推定10歳(オカマ…元は♂1998年4月辺り産れ)
みーたん推定8歳(オカマ…元は♂2000年8月辺り産れ)
♥ タカちんです ♥
★ふたりでお留守番(猫のライブカメラ配信)
★愛猫の部屋~みかん&もも(&ゆき)にゃん
★南の島と愛猫シナモンな日々☆ キレイな南国&愛猫さんの話し
★ねこの足跡(りおさんと7にゃんのブログ)
★桜サク時~人生の変わる瞬間~
★ツネオテレビ♪ Official Blog
★ところざわ犬猫支援の会
カテゴリー
猫の話し ( 60 )
タカちんの話し ( 44 )
チチくん ( 20 )
みーたん ( 28 )
タカちんと猫 ( 58 )
地域猫 ( 5 )
ライブカメラ ( 0 )
仔猫 ( 22 )
動物達 ( 3 )
タカちんの独り言 ( 1 )
他サイトの紹介 ( 2 )
チチくんとみーたん ( 5 )
メダカとマリモ ( 5 )
♥↓クリックしてね↓♥
✽↓✽↓✽↓クリック↓✽↓✽↓✽
♥☆♥過去日記ピックアップ♥☆♥
✽↑✽↑✽↑クリック↑✽↑✽↑✽
✽✽✽クリック✽✽✽クリック✽✽✽クリック✽✽✽
最新CM
lksezfixza
[12/11 lksezfixza]
wfneztul
[12/09 vqmgqayuua]
bwzhmdba
[12/09 iyazbdooto]
sekhnvze
[12/09 exymkkdzis]
jcbbwjkt
[12/09 lvxkbgfbnz]
jsrjfcas
[12/06 tbexardhzd]
wjumjzis
[12/06 lwayweqgap]
miyifoud
[12/06 wokqzgbubv]
anutncpa
[12/06 srbaximfwd]
jjzktmzg
[12/06 ivlznlhxyh]
最新TB
最新記事
無題
(11/06)
シルバーウィーク NO1
(09/19)
メダカ、初ゴハンと白点病
(09/17)
このメダカの種類何?
(09/14)
メダカの稚魚誕生♪
(09/13)
初歩の医療ミス
(09/09)
今日のメダカの卵
(09/08)
マリモにメダカ卵
(09/06)
記事が無くなりましたが・・・
(09/01)
新しいペット?w
(08/28)
プロフィール
HN:
タカちん
HP:
チチくんとみーたん
性別:
女性
職業:
会社員♪
趣味:
なんだろ~w
バーコード
RSS
RSS 0.91
RSS 1.0
RSS 2.0
ブログ内検索
アーカイブ
2009 年 11 月 ( 1 )
2009 年 09 月 ( 8 )
2009 年 08 月 ( 3 )
2009 年 07 月 ( 1 )
2009 年 06 月 ( 1 )
2009 年 05 月 ( 2 )
2009 年 03 月 ( 1 )
2009 年 02 月 ( 3 )
2009 年 01 月 ( 8 )
2008 年 12 月 ( 6 )
最古記事
「†お気に入り過去日記†」
(03/10)
はじめまちて
(02/12)
動画:Uんち
(02/12)
キャットタワーで
(02/13)
動画:ネコじゃらしが…
(02/14)
会社行くよ~
(02/15)
動画:爆睡w
(02/16)
動画;仲良しと猫の結石
(02/17)
上からも中からも…
(02/18)
ニョキニョキ
(02/19)
*
BlogPet
たかぼーデス♪ クリックして色んなお話し聞いてニャ=・ω・=
登録サイト
お天気情報
-
天気予報
-
♥タカのお気に入り♥
✿
[PR]
2025/12/14 [Sun]
×
[PR]上記の広告は3ヶ月以上新規記事投稿のないブログに表示されています。新しい記事を書く事で広告が消えます。
小便猫(エコー写真有)
2008/11/16 [Sun]
行ってきました、病院へ。。。
勿論
着きました、病院に・・・
・・・( ̄●● ̄) ナンカクサイ…
みーたん、オシッコ漏らしました
(;>_<;)ビェェン
病院に到着するまでゎ、分りませんでしたが
帰宅する時、車に乗ったら助手席のシートが
正確には、シートの上のクッションが
濡れてました
病院ゎ車でも5分と掛からない場所です
車内で既に「ぉシッコ猫」に変身していた模様
そして 当然の如く
病院でも汚してしまいました
車中の「みーたん」の鳴き声が変だったので
速攻病院で抱きかかえたアタシ
勿論
ビショビショの「ぉシッコ猫」を抱いたので
アタシもシッコまみれ(^^;
「ぉシッコ猫」と「ぉシッコタカ」
朝一番に程近い時間で病院へ
(泌尿器検査は朝一番か
午前中が最善です)
そして、「シッコ事件」発覚!
待合のソファーもシッコまみれぇ~
「ぉシッコ猫」と「ぉシッコタカ」と「ぉシッコソファ」
他のペットも色々来る為
看護師さんが「ちれい
ちれい
」に
除菌&拭き拭きしてくれましたが
バッグと「ぉシッコ猫」がびしょ濡れだった為
再度、病院の奥へ行く
「ぉシッコ猫」と「ぉシッコバッグ」
「ぉシッコ診察台」を
「拭き
拭き
」する先生
拭き拭きしながら
「これだけ出てれば膀胱炎は大丈夫カナ
それと、この色だと血尿も無いでしょ
ほらネ(使っていたタオルを見せながら)
ただネ・・・
(ただ???)
これだけオシッコ出てしまうと
採尿が出きるかどうか・・・」
(つー事ゎ、今日の尿検査はムリって事?
ねぇねぇ)
相談した結果
とりあえずエコーを見てからに。。。
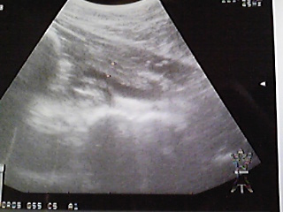
=====膀胱のエコー写真=====
① 11月2日
真ん中の黒い部分がオシッコ
上部の白い部分に炎症3~4mm
② 11月2日
やはり真ん中の黒い部分がオシッコ
その周りがギザギザしてる事から
炎症が良く分りますそして
ストラバイト結石が右上に 『こんにつゎ
』
③ 11月16日
真ん中に白と黒の横線が3つあります
上黒=オシッコ
白中=ストラバイトの可能性
白下=腸
④ 11月16日
別の写真ょり、一番下の一番横長の
白=腸
その上の腸以外の白はストラバイトの可能性
本日のエコー写真は持ち帰りました
見ての通り、ぉシッコ漏らした時に
全部を出し切ってしまったヤツ
今回は尿採取をし、検査をする事が
出来ませんでした。。。
依って、写真や漏らしたシッコでゎ
膀胱炎は治っているだろうとの予測
ストラバイトについては
再び来週・・・11月22日、又は24日に
病院で検査になりました
「昨晩、あれだけオシッコ出てたよなぁ
なぁ?ソコのシッコ猫ょ!」
と、問いかけてみる
病院で応急処置されるアタシ
なぜなら「ぉシッコタカ」だから
ソレまみれの服に
消臭スプレーを「シュシュッ==3」
帰宅途中にコンビニ立ち寄り
他人の視線がイタイ・・・
「シッコ猫」は「シッコバッグ」に入り
「シッコタカ」により、「シッコ車」にて
無事帰宅
ここより
帰宅した後のシッコの話し
「シッコ猫」帰宅早々
速攻お風呂に入って貰いました
「なぉ~ん」 「なぉ~ん」
と鳴く割に
時折見せる顔ゎ
うっとり
な「シッコ猫」
ぉ風呂場で突っ込みを入れるアタシ
洗う時にはブラシも使うのですが
今回は使わず
不安
うっとり
を数回繰り返したヤツは
気分良さ気に ぉ風呂から出て行き
「シッコ猫」より
「みーたん」に変身しました
① 変身後
まだ復活途中の「シッコみーたん」
② 変身後
シッコみ「(・ε・)ムー シュトーブにゃ」
③ 変身後
見えない所も再生中.。o○
④ 変身後
足と指の ぉマタも 全開なピンクぃ肉きぅ
⑤ 変身後
み「シュシュトーブ温かいにゃ」
再び うっとり
ちぅ
⑥ 変身後
み「もぉココから離れたくにゃぃ」
⑦ 変身後
み「むぅぅぅぅ?クンクン( ̄(● ●) ̄)」
タカちん、本日朝早く
そしてシッコまみれ
帰宅後もアッチコッチ掃除と洗濯しっぱで
自分自身も掃除し(ぇ?w)
みーたんが風邪ひかない様
ヒーターを出し、温める温める
しかし、アタシは動きっぱだから
熱い熱い
ひと段落して、小腹をみたすアタシ
⑧ 変身後
鮭ぉにぎりに容赦無く、狙いの視線
アタシはササッと食べ、ガッカリする
元に戻った完全復活な「みーたん」
「ポリポリ・・・」とたくあんを食らぅアタシ
⑨ 変身後
タカ「しまった! ヤツゎたくあんが
ぉにぎり ょり好物だったんだ!」
み「しょれ、ナーニ。ポリポリて・・・
ポリポリて・・・ ポリポリ言ってるケド・・・
しょのポリポリ、にゃに・・・」
本日、動きっぱなしで疲れました・・・
報告あんど
4コマ劇場ぉわり.。o○
「シッコ猫」「シッコタカ」「シッコバッグ」
「シッコソファ」「シッコ診察台」「シッコ車」
↓↓↓クリックしてね↓↓↓
PR
タカちんと猫
Trackback()
Comment(3)
この記事にコメントする
NAME:
TITLE:
MAIL:
URL:
COMMENT:
PASS:
元気なのはチチたんだけですか
honeys
早くテンポちゃんとストバイちゃんからおさらばできますように・・・・
2008/11/25(Tue)12:07:48
編集
Re:元気なのはチチたんだけですか
タカちん
だょねぇ~
「元気なのゎチチくんだけ。。。」
それゎ、常々思うんだけど、チチゎ、一歳の時に拾った野良猫。。。
免疫があるのか、それとも元々健康体だったのか・・・
多分、チチゎ、異物を自然に排泄出来る身体なんだと思う。
そして、みーたんが、再発するたびに悩みマス。記事に書いた様に、アタシが産まれてすぐに育てたからか・・・(人間の手で・・・)
アタシが体調が悪いのゎ、若気の至りっちゅーもんかもしれないッス^^;;
ただ、猫達には、アタシの手元に来たからには・・・
絶対、彼らは一生幸せだったと思って一生を終えて欲しいと思います。
そんな感情を感じられたらアタシゎスッゲ嬉しいです^^
そして、アタシも彼らと一緒に、出会って幸せなんだと思いつつ毎日を過ごしています♪
2008/12/04(Thu) 00:17
無題
りぞ
URL
みーたんも派手に漏らしましたね!
病院でも特別VIP扱いで大変でしたね。
とりあえず血尿は治ったみたいでよかったです。
みーたん、いっぱい飲んで、たくさんたくさんオシッコするんだよ~
だけどタカちんの膝の上でオシッコしちゃダメだからね~
ストラバイトは長期戦、病院行くたびにオシッコ漏らしちゃうと大変ですね。。。。
どうしちゃったんだろう??
怖かったのかな?
2008/11/16(Sun)18:45:45
編集
Re:無題
タカちん
シッコ猫となってしまったのゎ、多分タカが連れて行く時に抱きかかえたのが、不安で我慢出来たシッコを漏らす原因だったのだと思います。。。
今、現在、まだストラバイトに関しての結論も診断もありませんが、シッコは毎日量良し、キレ良しで、出てるので(日記参照www)まずゎ減量&運動のダイエットを実施しています。。。
タカもシッコ猫になった時ゎ、もしかして老化現象?って不安になりました。。。
みーたんゎ、チチと違って、元々、そう言う我慢の出来ない猫なのかもしれません。最悪の状況も本当に考えてます。。。
2008/12/04(Thu) 00:09
無題
うみ
クンクン( ̄●● ̄;)ニオウゾッ
お疲れさま~
朝から大変でしたね^^
みーたんは、綺麗綺麗して貰って
気持ち良さそうだね
でも、バッグや車・・・そしてタカは消臭スプレー
だけ?早く綺麗綺麗してね・・・
次回は、シッコタカに変身しないよう
祈ってるよ(笑)
運じゃなくて良かったね~♪
2008/11/16(Sun)16:23:42
編集
Re:無題
タカちん
勿論、シッコ猫ゎ帰宅早々、ぉ風呂ですし、シッコバッグも洗濯。。。
そして、シッコ車も汗だくで掃除.。o○
シッコタカは最後にちゃんとシャワー浴びましたょ~♪
その後も医者へ行ったのですが、シッコはしませんでしたが、シッコが出てしまった後だったらしく、採尿されず、今に至ってます。。。
2008/12/04(Thu) 00:02
この記事へのトラックバック
この記事にトラックバックする
≪ Back
│HOME│
Next ≫
[
237
] [
236
] [
235
] [
234
] [
233
] [232] [
231
] [
230
] [
229
] [
228
] [
227
]
Copyright c
チチくんとみーたん★ライブと動画と日記
。。All Rights Reserved.
Powered by
NinjaBlog
/ Material By
御伽草子
/ Template by
カキゴオリ☆
忍者ブログ
[PR]